Статья для читателей 16+
Согласно клиническим рекомендация — 2024, мочекаменная болезнь (МКБ) – это хроническое системное заболевание, являющееся следствием метаболических нарушений и/или влияния факторов внешней среды и проявляющееся образованием камней в верхних мочевых путях.
Виды камней
Камни бывают разные:
- по происхождению;
- по Rg-контрастности (фото 1);
- по химическому составу (фото 2);
- по размеру и локализации.

Фото 1 — Стратификация МКБ

Фото 2 — Стратификация МКБ по химсоставу
Диагностика
В диагностике среди инструментальных методов на первом месте идёт мультиспиральная компьютерная томография (МСКТ) почек и мочевыводящих путей без контраста.
Её чувствительность 96%, специфичность до 100% — это наиболее информативный метод (сильная рекомендация).
Выполнение УЗИ почек и мочевыводящих путей и/или обзорной урографии (Rg) рекомендуется для контроля отхождения камней (особенно твёрдых) или выявления остаточных (резидуальных) в послеоперационном периоде (условная рекомендация).
Однако доступность МСКТ далеко не 100%, а УЗИ+Rg мочевыводящих путей дополняют друг друга при гораздо меньшей (чем КТ) лучевой нагрузке.
Кейс
Мужчина, 47 лет обратился по иному урологическому поводу, но вспомнил, что несколько лет назад обнаружили МКБ.
Теперь при дообследовании в одном анализе мочи выявлено большое количество оксалатов Са, в другом — умеренное количество уратов при стабильно кислом рН (5,0).
В крови: креатинин 104 мкмоль/л, мочевая кислота 259 мкмоль/л, Са²+ 1,22 ммоль/л.
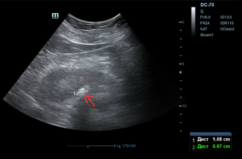
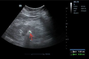
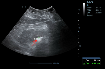
Делаем УЗИ почек (фото 3 — 5) — по центру левой почки подозрение на твёрдый камень, будто состоящий ~ из трёх слившихся фрагментов.

Фото 3 — УЗИ почки

Фото 4 — УЗИ почки

Фото 5 — УЗИ почки
Но он совершенно не беспокоит, и пациент оперативное лечение пока не рассматривает.
Хорошо, делаем [хотя бы] обзорную урограмму при хорошо подготовленном кишечнике и там видим такую «красоту» (фото 6).

Фото 6 — Урограмма
Рекомендации
В любом случае: диета, питьевой режим, коррекция рН мочи (до 6 — 6,5) и активное наблюдение.
Автор статьи врач-уролог Гришков А.А.
